
インプラントで、噛める喜びと笑顔を取り戻す

心から笑える毎日を諦めないでください
「硬いものが噛めなくなった」「人前で口元を隠してしまう」「入れ歯が合わず、食事のたびに憂鬱になる」—。
歯を失うことは、単に食べ物を噛む機能だけでなく、あなたの自信と、日々の生活の質(QOL) を大きく低下させてしまいます。
私たちは、そんなあなたの悩みに真摯に向き合います。現在のインプラント治療は、失った歯を取り戻してあなたの人生をより豊かにするための、非常に有効かつ信頼できる選択肢です。
※身体状態、喫煙習慣、口腔衛生状態や顎骨の形によっては治療が不可の場合もありますので、医師との十分なカウンセリングが必要です。お気軽にご相談ください。
なぜ、インプラントが選ばれるのか? 3つの大きなメリット
インプラント治療が従来の治療法(入れ歯やブリッジ)と一線を画すのは、その機能性と審美性にあります。
1.まるで自分の歯のような「自然な噛み心地」

インプラントは、顎の骨に人工の歯根(インプラント体)を埋め込み、その上に被せ物(人工の歯)を装着します。これにより、人工の歯がグラつくことがなく、天然の歯に近い安定感と、約80%〜90%の噛む力を取り戻すことができます。固いお肉や歯ごたえのあるおせんべいも、気にせず美味しく楽しめます。
| 治療法 | 咀嚼能率(目安) | 特徴・噛める力の理由 |
|---|---|---|
| インプラント | 約80%~100% | 顎の骨に人工歯根を直接埋め込むため、天然歯と同じように骨でしっかりと支えられ、噛む力が効率よく伝わります。ほとんど自分の歯と変わらない感覚で噛むことができます。 |
| ブリッジ | 約60%~80% | 失った歯の両隣の健康な歯を削って支えとするため、噛む力を支えている歯に分散させます。そのため、天然歯よりも力は劣り、支えている歯に負担が集中します。 |
| 入れ歯(総義歯) | 約10%~40% | 歯ぐきの上に乗せる構造のため、噛む力が粘膜(歯ぐき)を通して顎の骨に伝わります。骨と直接結合しないため、安定性に欠け、噛む力が弱いです。 |
※この数値は一般的な目安であり、患者様の口腔内の状態、失った歯の本数、使用する材料などによって変動します。
2.誰にも気づかれない「美しさと自信」

インプラントの上の人工の歯は、周りの天然歯の色や形に合わせて製作しますので自然な仕上がりになります。大きく口を開けて笑っても、治療した歯だと気づかれにくいでしょう。口元を気にせず、心から笑顔になれる自信を取り戻せます。
3.周りの歯に負担をかけない「優れた耐久性」

ブリッジ治療や入れ歯では、失った歯の両隣の健康な歯を削ったり、噛むチカラの負担をかけるデメリットがありますが、インプラントは独立して機能するため、健康な歯に一切負担をかけません。インプラントが強固な支えとなり周囲の歯の負担も軽くすることで、歯列全体の保全にもつながります。また、日常的および定期的に正しいケアを行えばかなりの長寿命も期待でき、実際に40年以上機能しているインプラントも報告されています。
インプラント治療の流れ(安心への3ステップ)
当院では、患者様が安心して治療を受けられるよう、丁寧なカウンセリングと精密な検査を徹底しています。
STEP.1 経験豊富なドクターによる精密検査・カウンセリング

3D-CTによる骨の量や神経の位置の確認、最適な治療計画の立案を行います。
STEP.2 インプラント体の埋入
局所麻酔下で、顎の骨にインプラント体(人工歯根)を埋め込みます。手術は安全かつ短時間で完了します。
STEP.3 被せ物(人工の歯)の装着・メインテナンス
インプラント体が骨と結合した後に、人工の歯を装着して治療完了です。その後も長期的に安定して使い続けるため、定期的なプロのケアが必要です。
インプラントのメリット・デメリット
メリット
・健康な歯を削らないので周りの歯を痛めません
・痛みなく自分の歯と同様に噛むことが出来る
・かさばらないので口内の違和感がない
・審美的にも自然の歯と変わらず優れている
デメリット
・あごの骨の状態によっては治療不可能
・メンテナンスや定期検診は長期的に必要です
・不十分なケアは骨や神経へハイリスクです
・自由診療の中でも高額の範疇になります
症例別インプラント治療
-
歯を1本失った場合のインプラント治療
-
歯を数本失った場合のインプラント治療
-
歯を全部失った場合のインプラント治療
当院ではストローマン社製のインプラントを採用しております

中には、激安値段のインプラントもありますが、研究による科学的裏付けが無く、他のブランドのマネをして作っているメーカーも存在するのです。
当院においては、
長期安定に定評のあるストローマン社製のインプラントを採用しております。
ストローマン社は世界中で高い信頼性を獲得しているインプラントの一流ブランドです。その品質は半世紀以上の長期にわたる良質な研究に裏付けられており、患者さまにとっても、また医師の立場においても安心、信頼できるインプラントを提供してくれています。
インプラント(自費)の治療費用例について
■1歯インプラント(奥歯)の場合の合計費用 ¥396,000(税込)
<内訳>
| インプラント埋入手術 | ¥231,000(税込) |
| かぶせ物製作のための精密な型採り | ¥55,000(税込) |
| かぶせ物(上部構造・セラミック冠)装着 | ¥110,000(税込) |
■1歯インプラント(前歯などの審美部位)の場合の合計費用 ¥451,000(税込)
<内訳>
| インプラント埋入手術 | ¥231,000(税込) |
| かぶせ物製作のための精密な型採り | ¥55,000(税込) |
| 審美部位加算 | ¥55,000(税込) |
| かぶせ物(上部構造・セラミック冠)装着 | ¥110,000(税込) |
■素材について
| SLActive 加算 (通常よりも骨と早く接着し、かつ高強度のインプラントを使用) |
¥11,000/歯 |
| 人工骨使用 | ¥55,000/アンプル |
■インプラント手術関連付随手術
| ソケットリフト (上顎洞底挙上術、埋入と同時) |
¥55,000/歯 |
| リッジエキスパンジョン法 (骨幅拡大術、埋入と同時) |
¥55,000/歯 |
| 上顎洞底挙上術 (埋入と別日、人工骨込) |
¥165,000/歯 (複数歯加算¥55,000/歯) |
| 骨造成術 (埋入と別日、人工骨込) |
¥165,000/歯 (複数歯加算¥55,000/歯) |
| 即時埋入加算 (抜歯と同日、人工骨込) |
¥110,000/歯 |
| サージカルガイド | ¥55,000~¥110,000 |
ISQ値測定器「 Osseo 100+ 」

当院では、安全・確実なインプラント治療を行うために、インプラントの安定性を測るISQ値測定器 「 Osseo 100+ 」を導入しています。
Osseo 100+から磁気パルスを発振することで共振周波数を測定し、インプラントの安定性を数値で表示します。これによって「インプラントが顎の骨とどれだけしっかり接着しているか」を把握することができます。
ISQ値を把握することで、被せ物製作時期の判断をサポートしてくれます。(全症例でISQ値の測定が必要というわけではありません。特に難症例の場合において、この測定器の真価を発揮してくれます。)
口腔内スキャナー「iTero Lumina」で素早く型採り!


これにより、極めて短時間で型採りが可能となります。インプラントのかぶせ物を作る際に、従来の歯型採りのように材料が固まるのを待つ必要がなくなり、患者さまの負担も軽減されます。
あおばヒロ歯科クリニックインプラント症例紹介

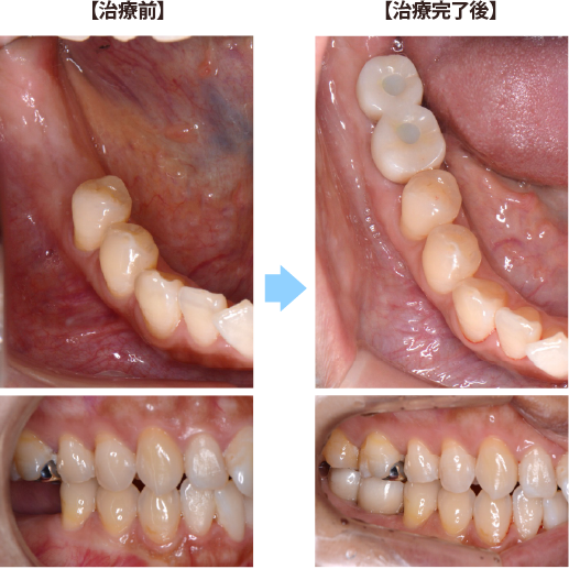
右下奥歯2本をインプラントによって再建した症例

| 治療期間 : | 2ヶ月半 |
| メリット : | 入れ歯に比べて、頑丈な強い歯を再建することができる。 天然歯と同様の咀嚼能力が回復する。(入れ歯は天然歯の20%程度の咀嚼能力) 長持ちし、他の残存歯における負担も減らすことで、残存歯本来の寿命を全うできることが多い。 虫歯にならない。 |
| リスク・副作用 : | 手術が必要であり、感染のリスクを伴う。 術後に一時的に腫れたり痛みが出ることがある。 治療完了までに数か月の期間を要する。 自費治療であり、保険治療より高額である。 インプラントも歯周病になることがある。 |
| 費用(自費治療分): | 合計金額 ¥858,000(税込) (右下大臼歯2歯分の費用、SLActive加算、ジルコニア冠の場合) |
難症例対応

難症例でも治療できる場合があります。一度ご相談ください。
①右上6番が無く、骨の高さが少ない症例

-
骨の高さが少し足りず、このままではインプラントが骨からはみ出てしまう。
-
インプラント埋入と同時に骨の高さを増やす手術(上顎洞底挙上術)を併用し、
1回の手術でインプラントを埋入できました。
数か月ほど骨との結合を待った後に、かぶせ物を製作しています。
数年経過しても、全く違和感なく食事を楽しめています。
| 治療期間 : | 3ヶ月 |
| メリット : | ブリッジや入れ歯に比べて、両隣の歯を削ること無く、強い歯を再建することができる。 入れ歯やブリッジに比べて自然なかみ合わせを得られる。 概して入れ歯やブリッジより長持ちし、他の残存歯における負担も減らすことで、残存歯本来の寿命を全うできることが多い。 虫歯にならない。 |
| リスク・副作用 : | 手術が必要であり、感染のリスクを伴う。 術後に一時的に腫れたり痛みが出ることがある。 治療完了までに数か月の期間を要する。 自費治療であり、保険治療より高額である。 インプラントも歯周病になることがある。 |
| 費用(自費治療分): | 合計金額 ¥473,000(税込) (ソケットリフト法併用、SLActive加算、ジルコニア冠の場合) |
②左上の奥歯2本が無く、インプラントを入れるための骨がほとんど無い症例

左上の歯が無くなった部分に骨の高さが無く、このままではインプラントが骨からはみ出てしまう。

上顎洞底挙上術と人工骨を足す手術を併用し、1回の手術でインプラントを埋入できました。
2ヶ月半ほど骨との結合を待った後に、かぶせ物を製作しています。
埋入から1年後も安定し、骨の高さも維持しています。
全く不安や問題なく、自分の歯のように噛めています。
| 治療期間 : | 3ヶ月 |
| メリット : | ブリッジや入れ歯に比べて、両隣の歯を削ること無く、強い歯を再建することができる。 入れ歯やブリッジに比べて自然なかみ合わせを得られる。 概して入れ歯やブリッジより長持ちし、他の残存歯における負担も減らすことで、残存歯本来の寿命を全うできることが多い。 虫歯にならない。 |
| リスク・副作用 : | 手術が必要であり、感染のリスクを伴う。 術後に一時的に腫れたり痛みが出ることがある。 治療完了までに数か月の期間を要する。 自費治療であり、保険治療より高額である。 |
| 費用(自費治療分): | 合計金額 ¥1,023,000(税込) (ソケットリフト法×2、人工骨使用、SLActive加算×2、ジルコニア冠の場合) |
③右上の奥歯が無く、骨もかなり足りない症例

歯が無い部分にインプラントを入れるための骨の厚みが足りず、インプラント治療が出来ないと言われ、入れ歯を装着していました。

右上小臼歯部分に骨の幅を増やす手術を併用し、1回の手術でインプラントを埋入しました。2ヶ月待った後に型採りを行い、かぶせ物を装着しました。
入れ歯から解放され、大変喜んでおられます。5年経過後も健康に保ち、全く問題なく食事を楽しんでおられます。インプラントがかみ合わせの支えになることで、前歯にも過度な負担がかからず、前歯の長持ちにもつながります。
| 治療期間 : | 2ヶ月半 |
| メリット : | 入れ歯に比べて、頑丈な強い歯を再建することができる。 天然歯と同様の咀嚼能力が回復する。(入れ歯は天然歯の20%程度の咀嚼能力) 長持ちし、他の残存歯における負担も減らすことで、残存歯本来の寿命を全うできることが多い。 |
| リスク・副作用 : | 手術が必要であり、感染のリスクを伴う。 術後に一時的に腫れたり痛みが出ることがある。 治療完了までに数か月の期間を要する。 自費治療であり、保険治療より高額である。 |
| 費用(自費治療分): | 合計金額 ¥968,000(税込) (リッジエキスパンジョン法×2、SLActive加算×2、ジルコニア冠の場合) |
インプラントは入れ歯の維持にも応用できます
-
複数のインプラントが
難しい方におすすめです。予算的な問題や骨の状態が理由でインプラントが難しい方や、長時間の手術で身体に負担をかけられないご年配の方には磁石式の入れ歯を併用したインプラントがおすすめです。失った歯の本数やあごの状態によっては、1本単位のインプラントの歯より、磁石式の入れ歯の方がいい場合もあります。
-
こんな方におすすめです
- 入れ歯が外れてしまう方
- 口元の形が変わってしまった方
- 噛み合わせに違和感がある方
- 健康な歯は削りたくない方
- 手術で身体に負担をかけたくない方
- 全歯インプラントにする予算がない方















